Klasické detské tenisky vs. barefoot tenisky: aký je v nich rozdiel?

 
Pri výbere detských tenisiek sa rodičia často rozhodujú medzi klasickými športovými modelmi a barefoot topánkami. Na prvý pohľad môžu vyzerať podobne, ale ich konštrukcia a spôsob, akým ovplyvňujú detskú chôdzu, sú veľmi rozdielne.
 
Pozrime sa bližšie na hlavné rozdiely medzi klasickými športovými teniskami (napríklad modely od Adidas) a barefoot teniskami ako Baby Bare Urban.
 
 
1. Tvar špičky

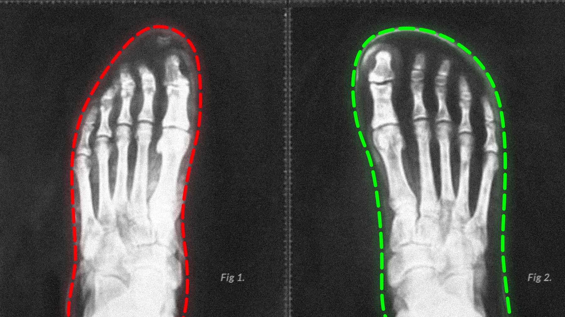
Jedným z najväčších rozdielov je priestor na prsty. Klasické športové tenisky majú často užšiu špičku, ktorá kopíruje dizajn športovej obuvi pre výkon alebo estetiku.
 
Pri bežnom nosení to môže znamenať menej priestoru na prirodzené roztiahnutie prstov. Barefoot topánky, ako Baby Bare Urban, majú anatomicky tvarovanú špičku, ktorá kopíruje prirodzený tvar chodidla. Prsty majú viac priestoru na pohyb, čo podporuje stabilitu a prirodzenú chôdzu.
 
2. Hrúbka a flexibilita podrážky

Klasické športové tenisky sú často navrhnuté s hrubšou podrážkou a tlmením, ktoré je vhodné najmä na športové aktivity. Barefoot topánky fungujú na inom princípe.
 
Podrážka je tenká a veľmi flexibilná, takže dieťa môže lepšie cítiť povrch pod nohami. Tento kontakt so zemou pomáha prirodzene zapájať svaly chodidla.
 
3. Drop (rozdiel medzi pätou a špičkou)

V mnohých klasických teniskách je päta mierne vyvýšená. Barefoot obuv má nulový drop, čo znamená, že päta aj špička sú v rovnakej výške. Tento princíp sa snaží napodobniť prirodzenú chôdzu naboso.
 
4. Flexibilita topánky

Klasické športové modely bývajú pevnejšie, aby poskytovali stabilitu pri športe. Barefoot topánky sú mäkké a ohybné vo všetkých smeroch, čo umožňuje chodidlu pracovať prirodzene.
 
5. Na čo sa hodia jednotlivé typy topánok
 
  • Klasické športové tenisky: športové aktivity, dynamické pohyby, tréningy.
  • Barefoot tenisky: každodenné nosenie, prechádzky, škôlka alebo škola.

Model Baby Bare Urban je navrhnutý práve ako mestská barefoot teniska – ľahká, flexibilná a vhodná na každodenné dobrodružstvá detí.

 

Ako si vybrať správne?

Pri výbere topánok je dobré zvážiť:

  • tvar detského chodidla,
  • priestor na prsty,
  • flexibilitu podrážky,
  • účel používania.

Mnohí rodičia dnes volia barefoot topánky na bežné nosenie počas dňa a športové tenisky na konkrétne športové aktivity.

 

Každý typ obuvi má svoje miesto. Klasické športové tenisky sú navrhnuté na výkon a šport, zatiaľ čo barefoot topánky sa snažia čo najviac priblížiť prirodzenej chôdzi naboso.

 

Ak hľadáte ľahké mestské tenisky s anatomickým tvarom a flexibilnou podrážkou, Baby Bare Urban sú jednou z možností, ktoré stoja za zváženie.

 

Vlastnosť Klasické športové tenisky Barefoot tenisky
  Podrážka   Hrubšia s väčším tlmením.   Tenká a veľmi flexibilná.
  Drop (päta – špička)   Často mierne zvýšená päta.   Nulový drop (päta a špička v rovnakej výške).
  Šírka špičky   Užšia a viac zúžená.   Anatomický tvar a viac priestoru pre prsty.
  Flexibilita   Pevnejšia konštrukcia.   Ohýbajú sa vo všetkých smeroch.
  Pocit pri chôdzi   Tlmia nárazy a izolujú chodidlo od zeme.   Prirodzenejší kontakt so zemou.
  Hmotnosť   Bývajú ťažšie.   Spravidla veľmi ľahké.
  Účel   Šport a tlmenie nárazov.   Podpora prirodzeného pohybu chodidla

 

 

traditional-shoes-vs.-barefoot-shoes-21800-x-1012